Categories
Procedure

“It is more cost effective to use a 5-stage balloon than using two 3-stage balloons.”
Bradley Confer, DO
Geisinger Medical Center – Gastroenterology

An 80-year-old female with a history of squamous cell carcinoma of the vocal cords who was previously treated with definitive chemotherapy and radiation. She has been suffering from recurrent aspiration pneumonia but has had no prior dysphagia until a hospitalization for melena one year prior. Initial EGD showed LA Grade D reflux with circumferential esophagitis and a 4 cm hiatal hernia.

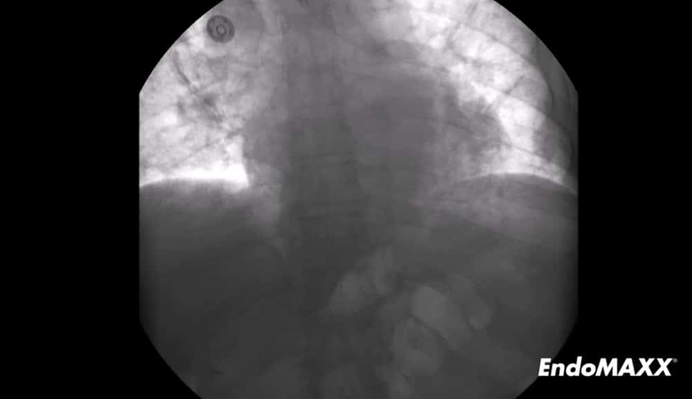
“The near immediate expansion combined with the unique struts tempers unwanted migration over time.”
Stuart Amateau, MD PhD
University of Minnesota Medical Center – Interventional Gastroenterology

A 76-year-old gentleman with progressive solid food dysphagia and a long history of tobacco use was found to have a malignant appearing, partially obstructing mass spanning 1-2cm of the mid esophagus (Fig 1A) with biopsies demonstrating poorly differentiated adenocarcinoma. Subsequent imaging revealed liver metastases confirming Stage IV disease. Oncology referred the patient for indefinite palliative esophageal stent placement to allow improved oral nutrition and quality of life while undergoing chemotherapy.

Presenter: Bradley Confer, DO
Recorded: May 19, 2020

Presenter: Adam W. Templeton, MD
Recorded: November 5, 2020
Essrani et al. 2020. “Complications Related to Esophageal Stent (Boston Scientific Wallflex vs. Merit Medical Endotek) Use in Benign and Malignant Conditions,” Cureus Journal of Medical Science. https://pubmed.ncbi.nlm.nih.gov/32328390/
Price et al. 2019. “Esophageal Perforations: One is Bad, Two is Worse,” Trauma Surgery and Acute Care Open. https://pubmed.ncbi.nlm.nih.gov/31058234/
Thomas et al. 2019. “Fully-Covered Esophageal Stent Migration Rates in Benign and Malignant Disease: A Multicenter Retrospective Study,” Endoscopy International Open. https://pubmed.ncbi.nlm.nih.gov/31157292/
Dua et al. 2014. “Efficacy and Safety of a New Fully Covered Self-Expandable Non-Foreshortening Metal Esophageal Stent,” Gastrointestinal Endoscopy. https://pubmed.ncbi.nlm.nih.gov/24685007/
Kucera et al. 2016. “Small Caliber Covered Self-Expanding Metal Stents in the Management of Malignant Dysphagia,” Journal of Gastrointestinal Oncology. https://pubmed.ncbi.nlm.nih.gov/27284474/
Dan et al. 2014. “Removable Esophageal Stents Have Poor Efficacy for the Treatment of Refractory Benign Esophageal Strictures (RBES),” Diseases of the Esophagus.
https://pubmed.ncbi.nlm.nih.gov/23121426/
Nwiloh et al. 2013. “Self-Expanding Stents in Treatment of Esophageal Leaks Post Bariatric Surgery,” General Thoracic Cardiovascular Surgery. https://pubmed.ncbi.nlm.nih.gov/22692701/
Chen et al. 2011. “Esophageal Cancer Patients Undergoing External Beam Radiation After Placement of Self-Expandable Metal Stents: Is There a Risk of Radiation Dose Enhancement?” Gastrointestinal Endoscopy. https://pubmed.ncbi.nlm.nih.gov/21628012/
The Elation 3-stage wireguided balloon dilator features the premium quality found in all Elation balloons while providing a guidewire to help manage strictures with difficult access.
The Elation 3-stage fixed-wire balloon dilator features the premium quality found in all Elation balloons. Its proprietary balloon and catheter designs result in a rapid, complete deflation and easy removal from the scope.
The first and only 5-stage esophageal dilation balloon in the market. Elation5 adds value by expanding the treatment range with a single balloon while maintaining all the premium qualities found in our legacy Elation balloon design.
The BIG60 inflation device pairs with our Elation dilation balloons to complete a best-in-class dilation system. The large handle with integrated release trigger facilities rapid inflation and deflation while providing precision and control during dilation.
The EndoMAXX fully covered esophageal stent is designed from years of clinical experience and feedback. This stent incorporates advanced features that help alleviate common adverse events associated with esophageal stenting.
The ALIMAXX-ES Fully Covered Esophageal Stent incorporates anti-migration technology with low radial force and includes unique small diameter sizing.
Give your patients the knowledge and comfort they need regarding their esophageal stents. This brochure contains information about life with a stent, food and drink recommendations, and more.
Ensure your patients have the knowledge they need regarding esophageal dilation. This brochure contains information about the dilation process, risks involved, and what to expect after their esophageal dilation.