Categories
Procedure

“I want to reiterate how care has improved since we started placing SCOUT Reflectors at the time of biopsy, which in most cases, is on the same day as the diagnostic mammogram. Women who’ve had previous wire localizations comment on the ease of the procedure, compared to traditional localization. They also love that they don’t have to return to the breast center for biopsy, and then again for a localization procedure.
One product, two steps eliminated. Patient satisfaction is through the roof. Patients know they are getting streamlined care at our breast care center. I so appreciate Merit for developing a product that has revolutionized care.”
Imaging Director Breast Care Services
Intermountain Healthcare, Salt Lake City UT
FROM CLINICAL PERFORMANCE
Precisely Identifies Tumor Location & Depth
Helps Optimize Surgical Goals
Optimizes Breast Conservation Strategy
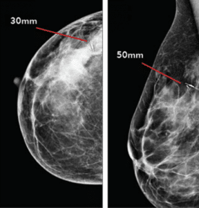
IN DEPTH MEASUREMENT MATTERS
The SCOUT system’s true distance measurement overcomes challenges with mammography images when estimating tumor depth and location during supine surgical procedures, and allows surgeons to quickly identify location and depth of reflector.
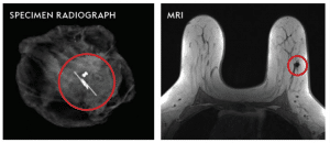
EXCELLENT UNDER IMAGING
The SCOUT System provides maximum flexibility with visualization regardless of the imaging modality. Shape provides unique radiographic and ultrasound images and The Reflector is a clinically insignificant MRI artifact.
SCOUT Radar technology promotes a streamlines Targeted Axillary Dissection; allowing surgeons to more easily identify previously biopsied nodes, even after neoadjuvant chemotherapy
A study published by Dr. Mary K. Hayes showcases the clarity of the SCOUT Reflector under MRI versus those of two other wire-free technologies on the market. 6
Use of SCOUT Reflectors to Identify the Previously Biopsied Node Significantly Improves the Probability of Surgical Removal and Subsequently Reduces the False Negative Cancer Rate
KEY RESULTS
REFERENCES:
1. Hayes MK, Bloomquist EV, Wright H. SAVI SCOUT Improves Breast Surgery Operating Room Start Times Compared with Wire Localization. Presentation at: American Society of Breast Surgeons 18th Annual Meeting, April 2017, Dallas, TX.
2.Merit Medical Data on File
3. Cox C et al. A Prospective Single Arm, Multi-Site Clinical Evaluation of a Nonradioactive Surgical Guidance Technology for the Localization of Non-Palpable Breast Lesions during Excision. Ann Surg Oncol 2016 Oct;23(10):3168-74.
4. Wright et al: It’s about time: Wire-free SCOUT localization of positive axillary lymph nodes prior to neoadjuvant chemotherapy may offer options to de-escalate axillary surgery
5. Balija et al: Reflector Localized Lymph Node Biopsy: A Novel Aide in Axillary Staging After Neoadjuvant Chemotherapy for Node-Positive Breast Cancer
6. Hayes MK. Signal void artifacts in non-contrast T1 non-fat-saturated MR sequences. Update on Preoperative Breast Localization. Radiol Clin N Am (2017); 591-603.
7. Taback B, Jajeda P, Ha R (2018). Enhanced Axillary Evaluation Using Reflector-Guided Sentinel Lymph Node Biopsy: A Prospective Feasibility Study and Comparison With Conventional Lymphatic Mapping Techniques. Clinical Breast Cancer. https://www.ncbi.nlm.nih.gov/pubmed/29544701
8. Storm-Dickerson T, Gold R. Utility of the SCOUT reflector as an efficient tool for the identification of index lymph node following completion of neoadjuvant chemotherapy. 2019. Merit Medical Systems, Inc.