Categories
Procedure
ASAP® and ASAPLP™ Aspiration Catheter Kits are designed for the efficient removal of fresh, soft emboli and thrombi from vessels of the arterial system.
Tailored to streamline procedures, ASAP and ASAPLP Aspiration Catheter Kits provide quality products you need to deliver powerful clot aspiration, restoring and improving blood flow in thrombosed vessels.1 Each kit contains:
Built with 100% stainless steel, the ASAP and ASAPLP Aspiration Catheters’ braided technology breaks through clots without kinking, facilitating improved blood flow (TIMI ≥2)1
PROVEN RESULTS IN A CONVENIENT KIT
Remove clots safely, quickly, and effectively with ASAP and ASAPLP Aspiration Catheters.
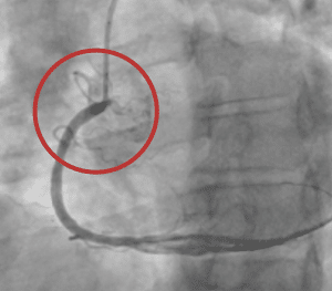
Large Thrombus Burden, Pre Aspiration
No Thrombus, Post Aspiration with ASAP
1 Data on file.
* ASAPLP comes with a stiffening stylet preloaded in the aspiration lumen of the catheter.